Health
SRI has been a leader for decades in the development of tools, technologies, and therapeutics that have saved and improved countless lives around the world. Our Biosciences division works with government and commercial clients to seamlessly integrate basic and translational research, drug discovery, and nonclinical and clinical development.
-

SRI relaunches the PARC Forum
The PARC Forum brings together some of the world’s leading thinkers for thought-provoking conversations at the intersection of technology, business, and society.
-

SRI selected as spoke for both ARPA-H Customer Experience Hub and Investor Catalyst Hub
SRI joins a nationwide network aiming to accelerate transformative health solutions.
-

SRI’s XRGo robotic platform could keep pharmaceutical cleanrooms sterile
The intuitive telemanipulation software gives operators fine control over a robotic arm, allowing remote fixes without disrupting environments.
-

SRI is developing breakthrough quantum technologies for ultrasensitive sensing
Navigation, medical imaging, and other areas could benefit from powerful new sensors that are based on detecting changes induced upon individual atoms.
-

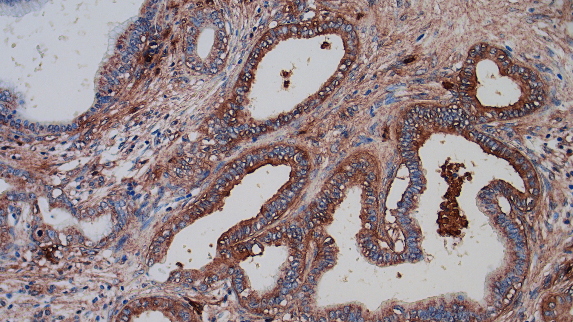
SRI researchers identify a biomarker to target and treat pancreatic cancer
The cancer targeting molecule was discovered through SRI’s FOX Three Molecular Guidance System.
-

Menopause research in full swing at SRI
SRI’s Fiona Baker digs deep into how technology and peaceful behavior practices can help calm sleep during menopause.
-

SRI spins off AI-powered drug discovery platform Synfini, Inc.
Synfini to commercialize and scale automated compound testing for rapid drug production.
-

Chloe Duckworth: Using voice tech to decipher the emotion behind the words
The CEO and co-founder of Valence Vibrations is leveraging technology from SRI to help people better read the room.
-

SRI celebrates 60 years of innovation in Japan
SRI has worked alongside some of Japan’s best-known companies to help develop next-generation technologies and bring them to market.
-

SRI is working on a new precision immunotherapy to help fight cancer
The Targeted Antigen Loaded Liposomes platform could bring a new era of effective and personalized treatment for diseases.
-

Indu Venugopal: the importance of passion and perseverance in your career
Indu Venogopal’s team worked to develop targeted immunotherapy to fight cancer.
-

60 years of pioneering technology and transforming industries in Japan
SRI celebrates its rich history of groundbreaking technological advancements and transformative technologies.